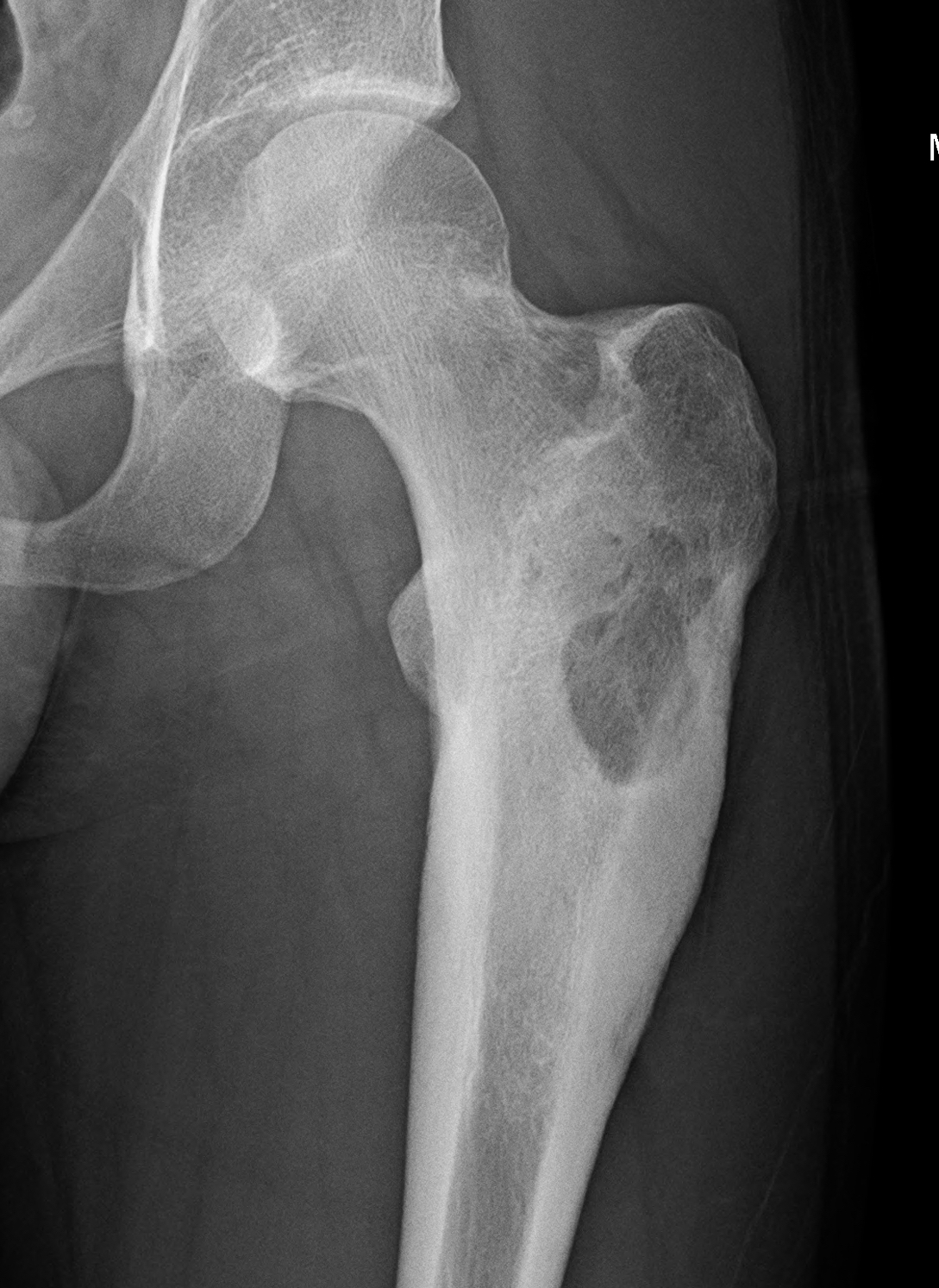
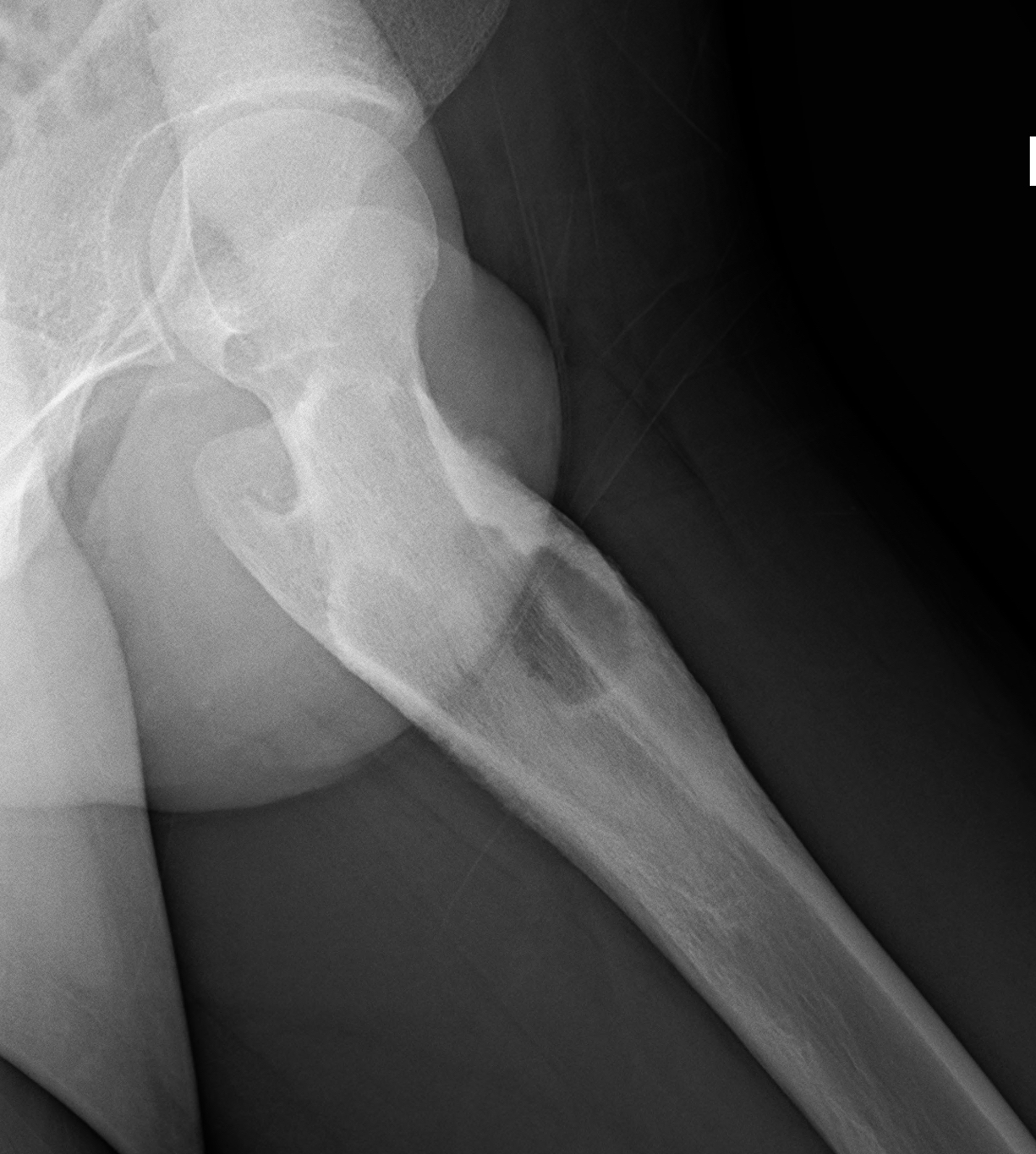
L'osteoblastoma è un tumore delle ossa che si localizza solitamente alla colonna vertebrale.
Il tumore è generalmente benigno, anche se esiste una forma più aggressiva.
Anatomia patologica
La lesione interessa l'area corticale, piuttosto che la midollare, ed è prevalentemente sclerotica.
Clinica
Sono motivo di dolore somatico ed allo stadio iniziale sono difficilmente localizzabili.
L'osteoblastoma è fattore determinante anche di scoliosi.
Trattamento
Il trattamento escissorio è il più idoneo.
Un intervento chirurgico è inevitabile nelle forme classificate nello stadio III.
L'intervento si diversifica a seconda dell'istotipo del tumore, della sede di insorgenza, dallo stadio e dalle condizioni generali del paziente.
Voci correlate
- Osteoma osteoide
Altri progetti
- Wikimedia Commons contiene immagini o altri file su osteoblastoma




